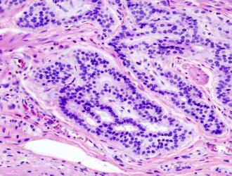
Un gruppo internazionale di ricercatori ha scoperto una causa finora sconosciuta della chemioresistenza, il meccanismo con cui la cellula tumorale riesce a costruire una barriera che blocca l’azione dei farmaci anticancro, rendendoli inefficaci.
All’origine del temuto fenomeno, rivela lo studio...










